menu black rustic rose plain icon
down black rustic rose circle arrow down black white circle arrow

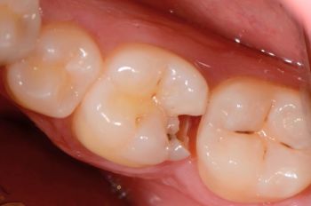
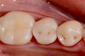
Fillings are an essential restoration for addressing decay, cavities, and minor dental injuries such as cracks in your teeth.

They can be a hugely preventive treatment, reducing the need for more involved dental treatment, especially if the issue is caught early. Once placed, your filling will protect your tooth from further damage and restore its form and function.

Restoration, protection, prevention

At Moltons Dental, we will do everything we can to help you prevent decay or dental injuries from occurring during your routine dental examinations.

However, should a tooth require restorative care with a filling, we will gently remove the damaged portion of the tooth and place a filling made from clinically proven materials that protect and prevent further damage.

Book an Appointment

Contact

Get in touch

logo rustic rose plain symbol
conten shape1
logo rustic rose plain symbol

White fillings – a natural alternative to Amalgam Fillings

At Moltons Dental, we prioritise both aesthetics and precision in restorative dentistry.

We offer natural-looking tooth-coloured (white) composite fillings instead of traditional metal amalgam fillings. These advanced materials are highly natural-looking, exceptionally strong, and completely mercury-free.

Book an Appointment
logo rustic rose plain symbol

Steps to getting a filling

  • Examination with a dentist at Moltons Dental.
  • An anaesthetic to numb the area.
  • Removal of the decayed portion of the tooth.
  • Placement of the filling material.
  • The filling is moulded to the tooth and set with a special curing light.
  •  Final adjustments/polishing.
Book an Appointment

Our Clients - Our Priority

consult

Looking to your future

We will do everything we can to help you avoid the need for further restorative treatment in the future. We recommend attending routine dental check-ups every six months to catch decay in its early stages.

We can also provide lifestyle advice on diet and protecting your teeth from injury to help you keep dental treatment to a minimum.

Contact

Get in Touch

We’d love to hear from you! Contact us today to book your appointment or ask any questions.

logo rustic rose plain symbol
logo symbol

FAQS

Frequently Asked Questions

Our goal is to make your visit to our practice as smooth and enjoyable as possible.

We understand that dental care can sometimes feel overwhelming, which is why we’ve put together this FAQ section to address the most common questions we receive. Whether you're a new patient or a long-time visitor, we want you to feel confident and well-informed about your dental care. If you have any other questions or concerns, please don’t hesitate to reach out to us. Our friendly team is always here to assist you.

Book an Appointment
What should I do in a dental emergency? down black rustic rose circle arrow down black white circle arrow

In the event of a dental emergency, please contact us immediately. If you’re experiencing severe pain, swelling, or an injury to your teeth or gums, please call us during office hours, and we will do our best to accommodate you for an urgent appointment.

How often should I have a dental check-up? down black rustic rose circle arrow down black white circle arrow

At Moltons Dental, we recommend having a dental check-up every six months. Regular visits help us detect any potential issues early, such as tooth decay, gum disease, or other oral health concerns, before they become more serious. However, depending on your individual needs—such as a history of dental problems, gum disease, or ongoing treatments—we may suggest more frequent visits.

Your dentist will work with you to create a personalised check-up schedule that best supports your long-term oral health.

logo rustic rose plain symbol
logo rustic rose plain symbol
Back to General Dentistry

Social Media

Follow us instagram instagram